BEFORE & AFTER – IMPLANTS
Dental & Anti-aging treatments will change your life. The end results are astonishing. View some before and after photo of a dental treatment

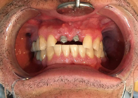
BEFORE

DURING

AFTER



BEFORE

AFTER

BEFORE

AFTER

BEFORE

AFTER

DURING

DURING

AFTER